Ortognatodonzia

 

L'Ortognatodonzia è la branca dell’odontoiatria che si occupa della prevenzione e del trattamento delle malposizioni dentarie migliorando la masticazione, la respirazione e l'estetica.

 

 Gli Obiettivi dell’Ortognatodonzia sono:

Correggere i principali difetti ortodontici: morso aperto, profondo e incrociato

Restituire un buon allineamento dei denti nelle prime classi dentali, intervenire nelle seconde classi, cercare di correggere le terze classi e agire molto precocemente nelle occlusioni inverse (cross) prima che si instaurino degli errati cicli masticatori

Progettare, con la collaborazione dei colleghi chirurghi maxillo-facciali, la risoluzione dei grossi dismorfismi delle basi ossee, preparando ortodonticamente i pazienti prima dell'intervento e seguendoli poi nella stabilizzazione e nella rifinitura estetica

Consentire un'efficiente funzione masticatoria

Garantire una buona estetica del sorriso

Ottenere e/o migliorare la salute dei denti

Mantenere nel tempo i risultati ottenuti, con la costruzione di contenzioni estetiche.

 

 

Le Cause delle problematiche  possono essere molteplici:

Predisposizione ereditaria

Scorretta relazione tra l'arcata superiore e quella inferiore che può essere sia dentale sia ossea

Diastemi interdentali (spaziature tra i denti)

Agenesie (mancanza di uno o più elementi dentari)

Denti soprannumerari (denti in più rispetto la norma)

Denti non erotti rimasti inclusi nell'osso

Tonsille e/o adenoidi ipertrofiche

Deglutizione infantile con interposizione della lingua tra i denti

 

Per individuare precocemente eventuali disarmonie dentali, è consigliabile effettuare una visita  quando i bambini sono di età tra i 3 ai 6 anni in quanto, la terapia precoce e intercettiva previene l'instaurarsi delle malocclusioni.

Durante la visita vengono esaminati i denti, la relazione tra le due arcate, l'articolazione temporo-mandibolare, la forma e il profilo del viso, il modo di chiudere i denti e di deglutire e, se necessario, si consiglia l'esecuzione di alcuni accertamenti diagnostici:

 

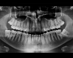
una radiografia delle arcate dentarie (che serve per verificare la presenza e la posizione dei denti decidui e permanenti)

una teleradiografia laterale (che serve per eseguire le misurazioni cefalometriche utili alla formulazione di un piano di trattamento ortodontico)

due impronte della bocca da cui si ricaveranno dei modelli in gesso

una serie di fotografie della bocca e del viso

 

Le radiografie vengono eseguite con strumenti digitali di ultima generazione che servono per sottoporre il giovane paziente alla minor dose radiogena oggi possibile.

Con questi esami lo specialista esegue un tracciato cefalometrico, e se necessario inizia un trattamento ortopedico funzionalizzante che utilizza un apparecchio mobile (i bambini lo possono mettere e togliere da soli) con il quale si può guidare la crescita dei denti in posizione corretta, guidare la crescita delle basi ossee e correggere abitudini viziate come succhiare il dito e respirare con la bocca aperta.

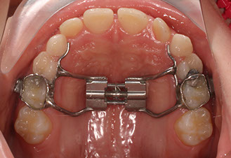
Talvolta, quando si vuole espandere l’arco palatino iposviluppato,  può essere necessario applicare un Diastasatore

Nei ragazzi di età superiore (quando la maggior parte dei denti permanenti sono in arcata) e negli adulti, si interviene con trattamenti fissi mirati sia alla risoluzione delle malposizioni dentarie, sia alla correzione degli incongrui rapporti intermascellari in modo da allineare i denti e migliorare l'estetica raggiungendo una buona funzione masticatoria.

L

F

Dr. Roberto Troisi - Medico Chirurgo

Specialista in Odontostomatologia

Via Empedocle Restivo, 4 - 90144 Palermo

D

E

Tel. 091 525250 - 091 6937859

Cell. 388 0546961

Ci trovi anche su Facebook