Protesi

 

Le Protesi  Dentarie  possono essere di diversi tipi:

Protesi Fissa, Protesi Rimovibile, Protesi Combinata e lo “Snap On”

 

Protesi Fissa

 

Le struttura tipica della Protesi Fissa è la “Corona”.

Questa ricopre il dente, rinforzandolo e conferendogli nuova estetica.

Si tratta di una struttura a due strati. Lo strato  più interno, in Lega Metallica, è a diretto contatto col moncone (che può essere un dente naturale limato o un moncone metallic fissato su un impianto); lo strato esterno di rivestimento  è in Ceramica.

Negli ultimi anni sono state impiegate le Corone con uno strato interno in Ossido di Zirconio.

Questo strato possiede una dinamica ottico-luminosa del tutto simile alla dentina, conferendo alla Corona quella traslucenza propria del dente naturale e, quindi, un'estetica decisamente superiore.

 

Protesi Rimovibile

 

E’ l’opzione scelta quando gli elementi dentari mancanti sono più numerosi di quelli ancora esistenti e, soprattutto quando non esistono più denti nei settori posteriori che possano fungere da sostegno per la protesi stessa. Ovviamente in questi casi non è nemmeno possibile ricorrere all’Implantologia per motivi che possono essere di diversa natura.

 

La Protesi Rimovibile può essere:

 

Totale, ovvero in grado di sostituire interamente un’arcata  completamente priva di denti.

In questo caso la stabilità della Protesi è garantita da un effetto “ventosa” della  superficie della protesi che viene a contatto con le gengive.

 

Parziale,  ovvero  in grado di integrarsi su un'arcata dentaria priva di alcuni elementi dentari.

 

In quest’ultimo caso bisogna distinguere:

 

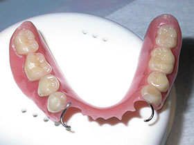
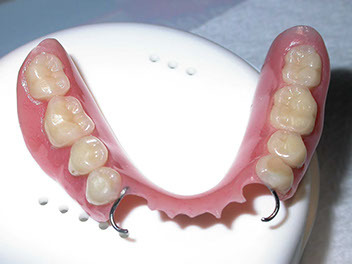
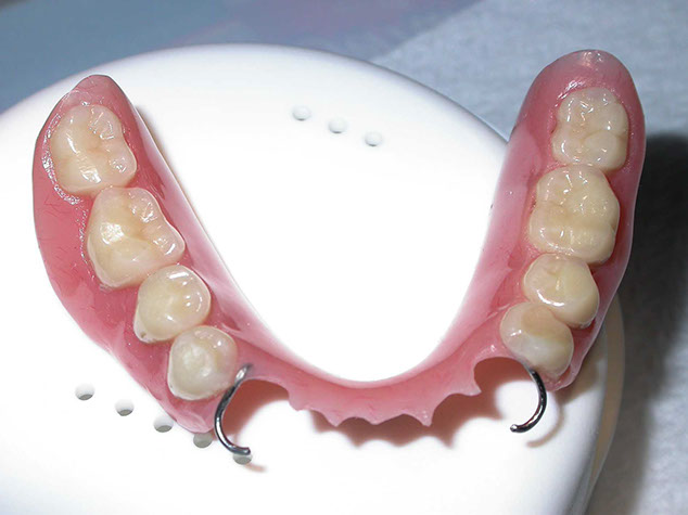
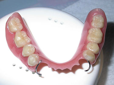
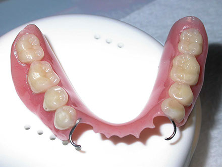
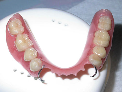
Protesi Parziale con Base in Resina: costituita da una base in resina di colore rosa sulla quale sono posizionati i denti mancanti anch’essi in resina.

L’ancoraggio di questa protesi è garantito da Ganci che abbracciano i denti naturali ancora esistenti.

Protesi Parziale con Base Scheletrata: differisce da quella precedente per il fatto che la base è molto più sottile in quanto costituita da un’armatura in lega metallica leggera, biocompatibile e  rivestita da Resina.

 

Anche con questo tipo di protesi l’ancoraggio viene affidato a Ganci, ma non solo. Talvolta si presta per essere ancorata tramite Attacchi di Precisione;

in quest’ultimo  caso parleremo di:

 

Protesi Combinata

 

Così definita perché nasce dall'insieme di una Protesi Scheletrata (che, come abbiamo visto, è una Protesi di tipo Rimovibile) e di Corone (ovvero Protesi di tipo Fisso).

Queste strutture, Fissa e Rimovibile, sono ingaggiate dall'Attacco di Precisione.

L’Attacco di Precisione è un sistema ad incastro tra strutture di dimensioni ridottissime, le une (i maschi), colorate in verde nella posizionate sulla Protesi Scheletrata, le altre (le femmine) colorate in giallo, posizionate sulle Corone.

 

Questo sistema di ancoraggio ovvia a tutti gli svantaggi dei Ganci; ricordiamoli:

 

Il gancio metallico esercita, col tempo, una notevole  abrasione sullo smalto del dente.

Inoltre il gancio, per la sua elasticità, per quanto minima, può determinare dei micro-movimenti della protesi, creando una certa instabilità.

Infine bisogna ricordare che il gancio il più delle volte è decisamente antiestetico.

 

 

L

F

Dr. Roberto Troisi - Medico Chirurgo

Specialista in Odontostomatologia

Via Empedocle Restivo, 4 - 90144 Palermo

D

E

Tel. 091 525250 - 091 6937859

Cell. 388 0546961

Ci trovi anche su Facebook