Faccette e Intarsi

 

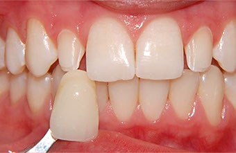
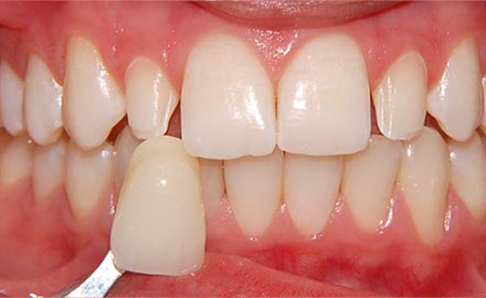
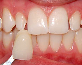
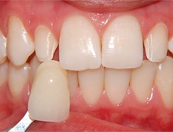
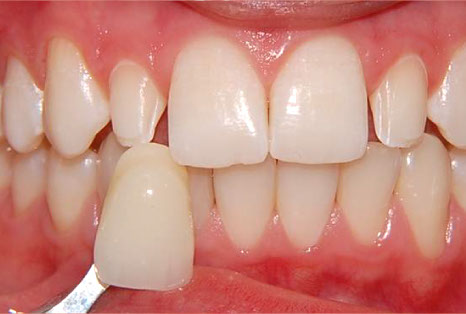
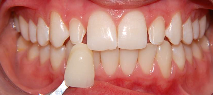
Le Faccette

sono dei sottili gusci in ceramica che vengono cementati sui denti anteriori (Canini ed Incisivi) ricoprendone la superficie anteriore e mantenendo nel tempo colore e lucentezza iniziali.

 

Le principali indicazioni sono quelle di chiudere gli spazi tra i denti (diastemi), coprire macchie permanenti, correggere difetti dello smalto e rivestire i denti anteriori scheggiati o usurati.


Può essere richiesto, talvolta, di limare un sottilissimo strato di smalto per poter alloggiare la Faccetta.

Fatto questo, viene rilevato il colore del dente da trattare e viene presa un'impronta che verrà successivamente inoltrata al laboratorio odontotecnico per la realizzazione del manufatto.

Gli Intarsi

sono delle ricostruzioni in ceramica, soprattutto dei Premolari e Molari.

Si eseguono quando un dente, risultando gravemente danneggiato  con perdita di molta sostanza dentale,  necessita di una ricostruzione che possa restituirgli la sua originale integrità sia estetica che funzionale.

Inizialmente viene rimossa la parte danneggiata del dente. Questa cavità viene  modellata e successivamente viene presa un'impronta. In tal modo si ottiene un modello in gesso sul quale viene poi costruito l'equivalente della parte mancante, ovvero l'intarsio vero e proprio, in ceramica.
Questo verrà cementato nella cavità, in una seconda parte dell’intervento, attraverso una speciale procedura adesiva. Il risultato restituisce al dente la sua integrità iniziale.

L

F

Dr. Roberto Troisi - Medico Chirurgo

Specialista in Odontostomatologia

Via Empedocle Restivo, 4 - 90144 Palermo

D

E

Tel. 091 525250 - 091 6937859

Cell. 388 0546961

Ci trovi anche su Facebook