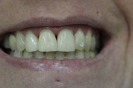
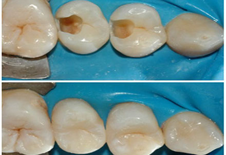
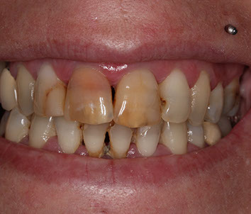
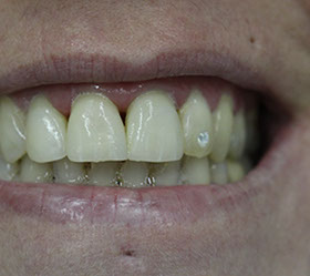
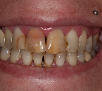
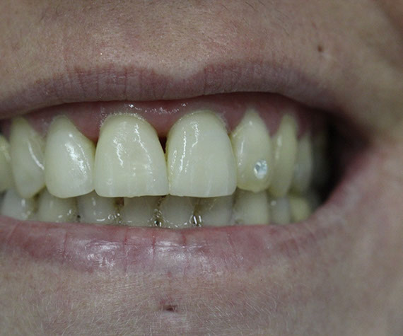
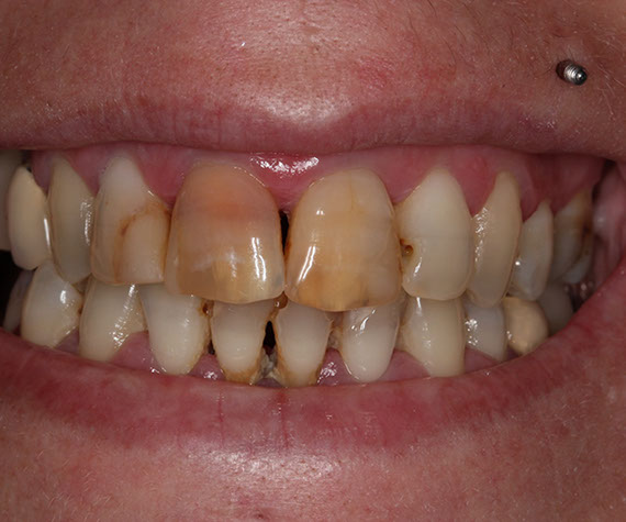
Terapia Conservativa

 

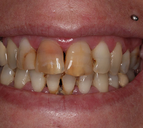
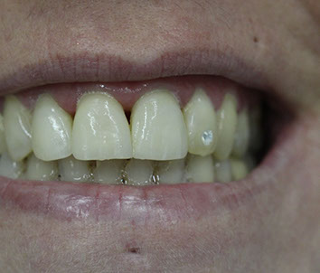
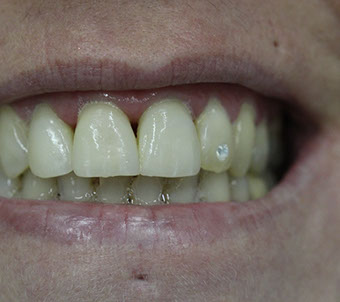
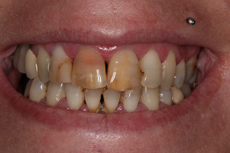
E’ la branca odontoiatrica  che si occupa, attraverso differenti procedimenti clinici, di conservare i denti naturali affetti da vari tipi di lesioni (Carie, Fratture, Discromie) individuate grazie ad un Esame Obiettivo spesso completato da una o più Radiografie.

La Carie può colpire lo strato più esterno del dente ( lo Smalto ), quello intermedio ( la Dentina ) o quello interno (la Polpa).

Tranne che nel terzo caso, in cui necessita una Terapia Endodontica, nei primi due si procede alla rimozione della Carie ed all’Otturazione della cavità residua.

 

Il materiale d’otturazione e/o ricostruzione più comunemente usate sono le Resine Composite, che sono materiali plastici, composti da una parte organica resinosa e da una parte inorganica minerale. Tali Resine Composite, una volta modellate  in fase plastica ( morbida ) sul dente, vengono polimerizzate ( indurite ) per mezzo di piccole lampade ad emissione di luce alogena.

L

F

Dr. Roberto Troisi - Medico Chirurgo

Specialista in Odontostomatologia

Via Empedocle Restivo, 4 - 90144 Palermo

D

E

Tel. 091 525250 - 091 6937859

Cell. 388 0546961

Ci trovi anche su Facebook