Terapia Endodontica

 

L'endodonto è lo spazio all'interno dell'elemento dentario che contiene la Polpa, costituita da cellule, capillari sanguigni e fibre nervose.

Si ricorre alla terapia endodontica quando una lesione (cariosa, traumatica) dopo aver distrutto lo strato esterno dello Smalto e quello intermedio della Dentina, raggiunge la Polpa. Questa, una volta aggredita dai batteri, si infiamma (Pulpite). In questo caso I capillari si congestionano comprimendo le fibre nervose, con conseguente dolore.

Questo è improvviso, molto acuto; può attivarsi per stimoli fisici (caldo e freddo), o chimici; progredendo la patologia, può insorgere spontaneamente.

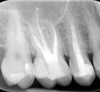
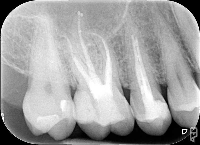
Poichè la pulpite è un processo irreversibile e persistente anche dopo terapia farmacologica con antiinfiammatori, l'unico rimedio valido è la Terapia Endodontica, che è composta da diverse fasi:


• accesso alla camera pulpare mediante frese diamantate
• asportazione della polpa e sagomatura dello spazio endodontico con strumenti meccanici (in nichel-titanio), con l'ausilio della detersione del canale radicolare (acqua ossigenata, ipoclorito di Sodio, calcio-chelanti) 
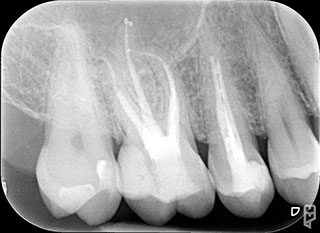
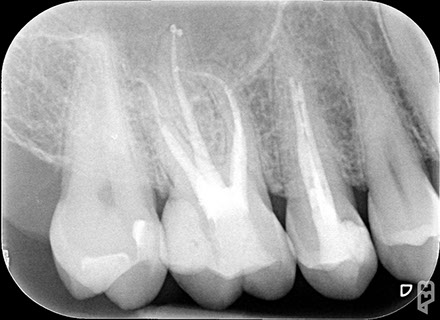
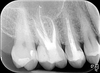
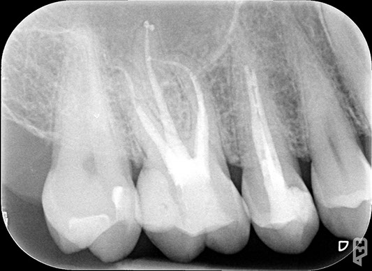
• otturazione di tutto l'endodonto mediante materiali termoplastici (guttaperca) e cementi biocompatibili
• controllo radiografico

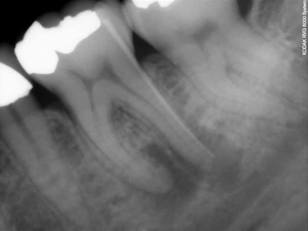
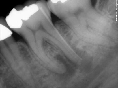
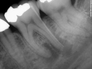
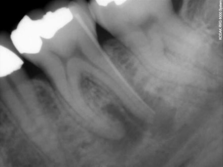
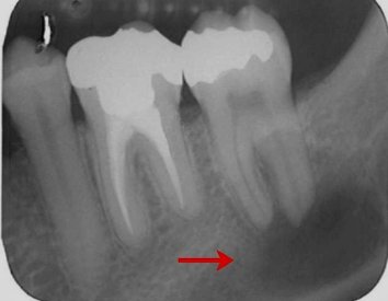
La Pulpite non trattata, dopo una storia più o meno lunga di episodi di dolore intenso, evolve in Necrosi della polpa, da cui possono insorgere sequele locali a carico dei tessuti peri-radicolari.
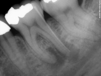
Il contenuto necrotico, infetto, del canale radicolare va a contaminare la zona circostante l’apice della radice,  determinando un Ascesso  o, altrimenti, una condizione d’infiammazione cronica,  detta Granuloma.

All'esame radiografico, sia l'Ascesso che il Granuloma sono rappresentati da  un'area di ridotta densità ossea, visibile come un'areola scura in prossimità dell'apice radicolare.

L’assunzione di antibiotici in caso di ascesso dentale può circoscrivere l’infezione, ma non  guarirla. La remissione o l’attenuazione dei sintomi è solo temporanea, potendo ricomparire in qualsiasi momento. Assumere un antibiotico, pertanto, può servire come terapia farmacologica d'urgenza, nell'attesa di sottoporsi ad un corretto trattamento.

L

F

Dr. Roberto Troisi - Medico Chirurgo

Specialista in Odontostomatologia

Via Empedocle Restivo, 4 - 90144 Palermo

D

E

Tel. 091 525250 - 091 6937859

Cell. 388 0546961

Ci trovi anche su Facebook